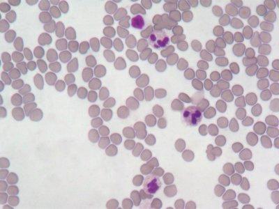
【染色結果】染色后鏡檢結果為紅細胞呈淺紅色,白細胞核深紫紅色,胞漿中顆粒清晰可見,易于對白細胞分類及計數。具有使用方法較簡便、染色時間較短、染色結果形態較清晰、檢出率高等優點,一般2分鐘可出結果。
【產品優點】建成的快速瑞姬氏染液可用于血液、骨髓涂片、各種培養細胞及各組織細胞的染色,涂片無需固定,直接染色3-5分鐘,?各種細胞成分特征清晰,血小板、紅細胞內的寄生蟲及正染紅細胞、嗜多染紅細胞、微核等成分均很清晰。嗜中性粒細胞、嗜酸性粒細胞、嗜堿性粒細胞、單核細胞、淋巴細胞等各類白細胞系統均十分清晰。
【所需儀器】光學顯微鏡、玻片、染缸、滴管、秒表、記號筆等。
| 參數信息 |
| 外觀狀態: |
固體或粉末 |
| 質量指標: |
95%+ |
| 溶解條件: |
有機溶劑/水 |
| CAS號: |
N/A |
| 分子量: |
N/A |
| 儲存條件: |
-20℃避光保存 |
| 儲存時間: |
1年 |
| 運輸條件: |
室溫2周 |
| 生產廠家: |
蘇州北科納米科技有限公司 |
留言咨詢
|
|
 |
| 生物納米材料前沿 |
 |
| 納米醫學Frontier |
|
溫馨提示:蘇州北科納米供應產品僅用于科研,不能用于人體,不同批次產品規格性能有差異。網站部分文獻案例圖片源自互聯網,圖片僅供參考,請以實物為主,如有侵權請聯系我們立即刪除。
提示說明:納米材料工藝和制備可能會有改變 所有納米材料均支持按需定制 下單前聯系客服確認產品詳細信息。 |