CEJ effectively organized repair, mechanical enhancement and highly viscous acellular tissue derived hydrogels.
abstract
Hydrogel derived from decellularized tissue (DT) has great potential in regenerative medicine. However, the hydrogels produced by thermally induced cross-linking process exhibit weak mechanical properties through self-assembly of collagen fibers in DT. This limits its application in tissue regeneration requiring strong mechanical properties and structural integrity requiring hydrogel structures. In order to overcome the above challenges of DT derived hydrogels, a team of Professor Seung-WooCho of Yonsei University developed a DT hydrogel with oxidative crosslinking by combining catechol and extracellular matrix in DT. Catechol modified DT (DT-CA) was constructed immediately after oxidation of catechol catechol adduct, and its mechanical properties were 10 times higher than that of unmodified DT hydrogels.
Oxidative crosslinking also increases the adhesion and physical integrity of DT hydrogels, allowing the formation of scaffolds without the use of any supporting materials, which is not achieved by conventional DT hydrogels. DT-CA hydrogel proved that the osteogenic differentiation of human stem cells was enhanced, and accelerated the formation of new bone in the mouse model of critical size skull defect. In addition, dt-ca patch type promotes wound healing by mediating effective local delivery of growth factors. Similarly, other phenolic adhesive parts (o-phenyl three phenol) can be introduced to improve DT hydrogel to promote wound regeneration. Overall, the results of this study support the applicability of mechanically enhanced viscous DT hydrogels in effective tissue regeneration. The related papers were published in the Journal of chemical engineering with the title of mechanically reinforced and highly adaptive decellularized tissue derived hydrogen for effective tissue repair.
Main picture
Fig. 1. preparation and characterization of DT-CA hydrogel. A) is used to prepare the schematic diagram of the acellular, solubilization, catechol binding and gelation process of DT-CA hydrogel (Fig. 2). The above image shows the traditional DT hydrogel by thermally induced self assembling crosslinking. b) General view (small entrance image), H & E staining and immunofluorescence staining of Col I (red) of skin tissue before and after decellularization. DAPI (blue) was used to re stain the nuclei. Scale = 100 μ m。( c) The contents of DNA and gag in skin tissue were measured before and after acellularization( d) 1H NMR analysis confirmed the catechol modification in dt-ca conjugate dissolved in deuterium oxide( E) FT-IR analysis of DT, DT-CA conjugates, DT hydrogels and DT-CA hydrogels.
Fig. 2. comparison of the structure and mechanical properties of DT hydrogel.
Fig. 3. the physical integrity and adhesion of DT-CA hydrogel are improved.
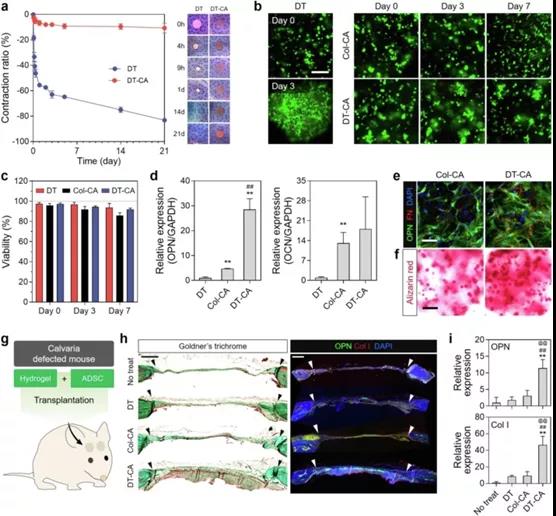
Fig. 4. transplantation of hADSCs with DT-CA hydrogel enhances osteogenic differentiation and new bone formation.
Fig. 5. preparation of DT-CA hydrogel patch and its application in local skin tissue regeneration in full-thickness wound model of mice.
Figure 6. Synthesis of dt-pg and its application in local skin regeneration in full-thickness wound mouse model.
summary
The team proposed a bionic approach to overcome the current limitations of acellular matrix derived hydrogel systems. The mechanical and physicochemical properties of DT hydrogel can be significantly improved by adjusting cross linking chemistry without affecting the inherent biochemical effect and biocompatibility of acellular matrix. Partial catechol mediated oxidative crosslinking with DT skeleton subunits can induce rapid gelation, and endow DT hydrogels with strong physical properties and significant tissue adhesion. The reliable formation of DT-CA hydrogel does not require additional support materials. It may refer to the potential application of DT-CA system in tissue specific scaffolds and simple fabrication and biological printing of tissue models. The DT-CA hydrogel developed by simulating the tissue with enhanced mechanical cues significantly promoted the osteogenesis of stem cells in vitro and in vivo. In addition, the formulation of patch DT-CA further improves the mechanical properties and usability of DT-CA hydrogels, and promotes effective drug delivery and tissue regeneration. Mechanically enhanced viscous DT hydrogel can also be achieved by combining PG, which can expand the potential utility of DT in clinical settings. It is expected that the improvement of acellular technology with catechol or gallic chemistry will be suitable for cell therapy and tissue engineering of other types of tissues.
This information is from the Internet for academic exchange only. If there is any infringement, please contact us to delete it immediately
18915694570
Previous: Nature Biomed. Eng. or

